• admin 2025-11-05
    佛山种牙爆料事件最新情况,最新进展与各方回应梳理

    佛山种牙爆料事件最新情况,最新进展与各方回应梳理

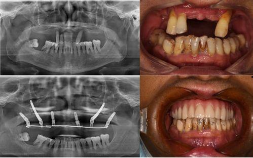
    最近佛山那边的种牙事件可是闹得沸沸扬扬的,咱们得好好来聊聊这个话题。你有没有听说,佛山某口腔医院因为种牙问题引发了一场不小的风波?别急,让我带你一探究竟,看看这背后到底隐藏着怎样的秘密。一、事件起因:患者反映种牙后问题不断话...

  • admin 2025-11-05
    中融民信最新消息 爆料,揭秘公司最新爆料背后的真相”

    中融民信最新消息 爆料,揭秘公司最新爆料背后的真相”

    最近网上可是炸开了锅,大家都在热议一个话题——中融民信的最新消息。这不,我可是迫不及待地要来给你爆料一番,让你第一时间掌握这个大事件的最新动态。下面就让我带你一探究竟吧!一、中融民信背景揭秘首先,得先给你介绍一下中融民信这家...

  • admin 2025-11-05
    星象最新爆料新闻视频播放,揭秘神秘视频背后的惊人真相

    星象最新爆料新闻视频播放,揭秘神秘视频背后的惊人真相

    亲爱的星象迷们,今天我要给你带来一份特别的礼物——星象最新爆料新闻视频播放!是的,你没听错,那些神秘的星星们又有了新动向,让我们一起揭开它们神秘的面纱吧!一、神秘星象,揭秘宇宙奥秘你知道吗?宇宙中有着无数颗星星,它们各自有着...

  • admin 2025-11-04
    关羽皮肤最新爆料图片,霸气造型,细节满满,再现三国英姿

    关羽皮肤最新爆料图片,霸气造型,细节满满,再现三国英姿

    最近游戏圈可是炸开了锅,关羽的新皮肤终于有了最新爆料,而且还是高清大图哦!你有没有心动呢?快来跟我一起看看这个让人眼前一亮的关羽皮肤吧!一、神秘面纱揭开,关羽新皮肤亮相就在前几天,官方突然放出了一组关羽新皮肤的图片,瞬间吸引...

  • admin 2025-11-04
    深圳沙井最新疫情爆料,多区域核酸检测,防控措施持续加强

    深圳沙井最新疫情爆料,多区域核酸检测,防控措施持续加强

    最近深圳沙井的疫情情况可是牵动着大家的心呢!这不,我刚刚从可靠的渠道打探到了最新的疫情爆料,赶紧来和你分享让你对这个地区的疫情有个更全面的了解。沙井疫情最新动态首先,让我们来看看病例的分布情况。根据最新的数据,沙井地区的确诊...

  • admin 2025-11-04
    周密直播爆料视频大全最新,揭秘娱乐圈不为人知的秘密与真相

    周密直播爆料视频大全最新,揭秘娱乐圈不为人知的秘密与真相

    你知道吗?最近网上可是炸开了锅,大家都被“周密直播爆料视频大全”给吸引了。这可不是一般的视频,它可是集合了各种爆料、揭秘、幕后花絮的宝藏库哦!今天,我就要带你一探究竟,看看这些视频里都藏着哪些秘密。揭秘直播圈:周密直播爆料视...

  • admin 2025-11-04
    波风水门最新技能爆料

    波风水门最新技能爆料

    你知道吗?最近在动漫界可是炸开了锅,波风水门这个传奇角色竟然要迎来全新的技能爆料!没错,就是那个在《火影忍者》中,以一己之力拯救忍界的波风水门!今天,就让我带你一起揭秘这个神秘的新技能,看看它究竟有何魅力,能让粉丝们如此兴奋...

  • admin 2025-11-04
    原神最新剧情爆料图,神秘势力崛起,命运之轮即将转动!

    原神最新剧情爆料图,神秘势力崛起,命运之轮即将转动!

    最近原神的热度可是越来越高啊!作为一名忠实的原神玩家,我怎么能错过任何一点新鲜事儿呢?这不,就在最近,网络上突然爆出了原神最新剧情的爆料图,简直让人兴奋得心跳加速!今天,就让我带你一起揭开这神秘的面纱,看看这次原神的剧情会有...

  • admin 2025-11-04
    原神一散兵最新爆料,神秘身份揭晓,实力升级引期待

    原神一散兵最新爆料,神秘身份揭晓,实力升级引期待

    最近原神圈子里可是炸开了锅,大家都在热议一个超级大爆料——原神一散兵的最新消息!没错,就是那个神秘又迷人的角色,终于有了新动向。今天,就让我带你一起深入挖掘这些新鲜出炉的情报,看看这个散兵到底有什么特别之处吧!一、神秘散兵,...

  • admin 2025-11-04
    斗罗大陆卡包最新爆料

    斗罗大陆卡包最新爆料

    斗罗大陆卡包最新爆料:揭秘神秘新卡,带你领略奇幻世界!亲爱的卡牌爱好者们,你是否已经迫不及待地想要了解斗罗大陆卡包的最新动态呢?今天,就让我带你一起揭开神秘的面纱,探寻斗罗大陆卡包的最新爆料吧!一、神秘新卡亮相,实力不容小觑...

1 2 3 4 5 6 7 8 9 10
返回顶部 暗黑模式